Normal findings - Pancreas / Common bile duct (CBD)


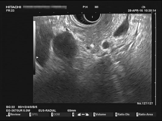
Pancreas

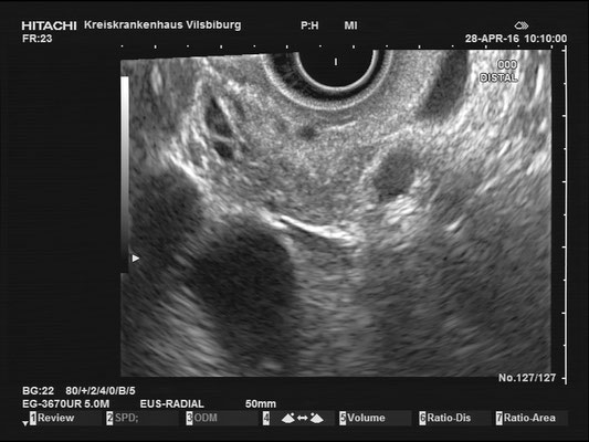
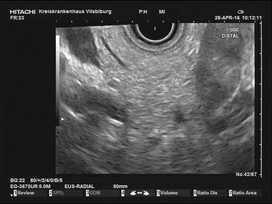
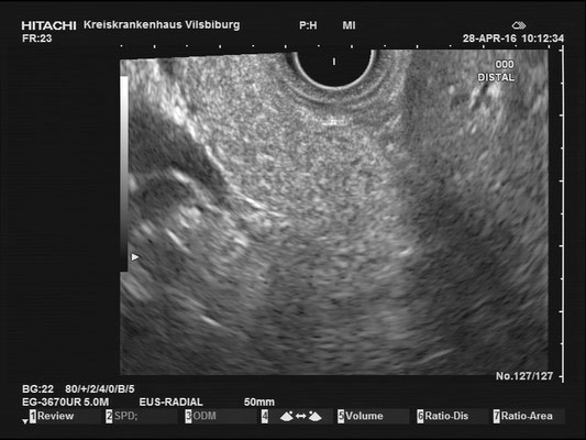
The images above depict a thorough inspection of the pancreas, as seen in an radial EUS Examination. We begin (hopefully ;) bei identifying the uncinate process between the golden V, which is formed by the aorta/V. cava and the mesenteric vessels. After spotting die usually hypoechoic ventral pancreatic root, the duodenal papilla can be identified (for a more detailed approach, please visit "Learning Endosono"). By following the splenic vein, the body and tail of the pancreas can be examined. 

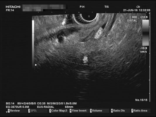
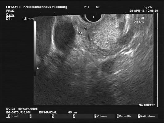
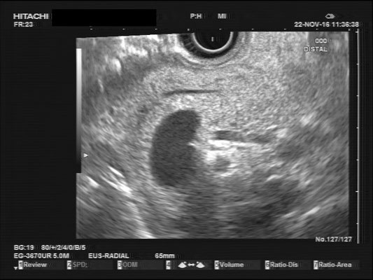
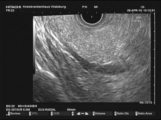
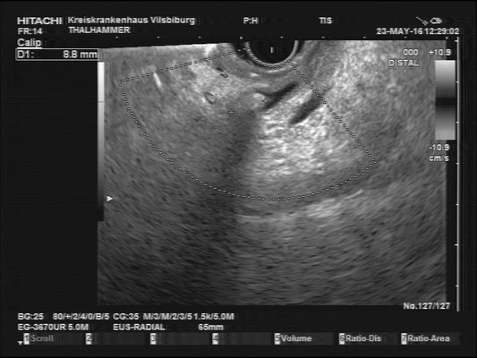
Common bile duct (CBD)

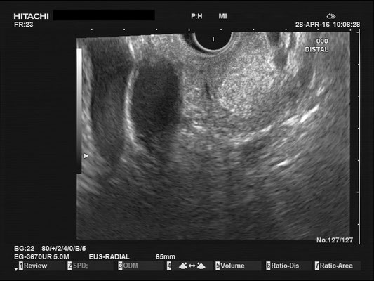
For a full examination of the common bile duct (CBD), we want have a great view of the most distal part, at the duodenal papilla. Optimally we can identify the double duct sign (or as I like to call it the "money shot") and work our way towards the liver. The CBD is joined by the hepatic artery and Portal vein, making up the Glisson's Triad. Using the doppler signal will help differentiate the vessels. 

The most observant viewers will have noticed that not all images above depict normal findings but some abnormalities. (my bad ;)